Российские ученые изучили различия в объеме поражений мозга после инсульта у детей разного возраста

Команда российских ученых и медиков при участии Софьи Куликовой из НИУ ВШЭ в Перми сравнила объем и характер поражений мозга у детей, перенесших инсульт в первые четыре недели жизни и в возрасте до двух лет. Выяснилось, что чем младше ребенок, тем обширнее зоны поражения мозга, особенно в лобных и теменных долях, отвечающих за движение, речь и мышление. Исследование, опубликованное в журнале Neuroscience and Behavioral Physiology, помогает понять, как возраст влияет на характер и масштаб поражений, и закладывает основу для разработки персонализированных программ реабилитации после инсульта в раннем детстве.
Инсульт — это острое нарушение кровотока в мозге: либо сосуд перекрывается тромбом/эмболом (ишемический инсульт), либо сосуд разрывается, и происходит кровоизлияние (геморрагический инсульт). Детский инсульт имеет специфику, поскольку мозг ребенка постоянно растет и изменяется. Несмотря на то что механизм развития инсульта у детей и взрослых одинаковый (разрыв сосуда, его тромбоз), природа патологии различается. У взрослых это происходит либо из-за эмболов — тромбов, сгустков крови, которые застревают в сосуде и перекрывают кровоток, либо из-за атеросклероза, когда холестерин оседает на стенках сосуда и закупоривает его. Ни того ни другого у детей нет.
Софья Куликова
«Чаще всего детские инсульты встречаются у малышей с пороками сердца, даже у тех, кого прооперировали. Это связано с тем, что сердечно-сосудистая система у таких детей работает неправильно. Причем для некоторых перинатальных инсультов мы даже не можем определить, когда именно они случились: в момент появления на свет, сразу после или до рождения», — объясняет одна из авторов статьи, заведующая Центром когнитивных нейронаук НИУ ВШЭ в Перми Софья Куликова.
Большой размер поражения всегда связывают с плохим прогнозом, но неизвестно, справедливо ли это для детей, чей мозг обладает чрезвычайной пластичностью. Чтобы ответить на этот вопрос, ученые из нескольких российских университетов и медицинских учреждений (НИУ ВШЭ, УрФУ, МГУ, Института эволюционной физиологии и биохимии имени И.М. Сеченова РАН, УГМУ, Сколковского института науки и технологий, а также Детской городской клинической больницы №9 и Областной детской клинической больницы Екатеринбурга) сравнили объем поражений мозга при инсульте у малышей разного возраста.
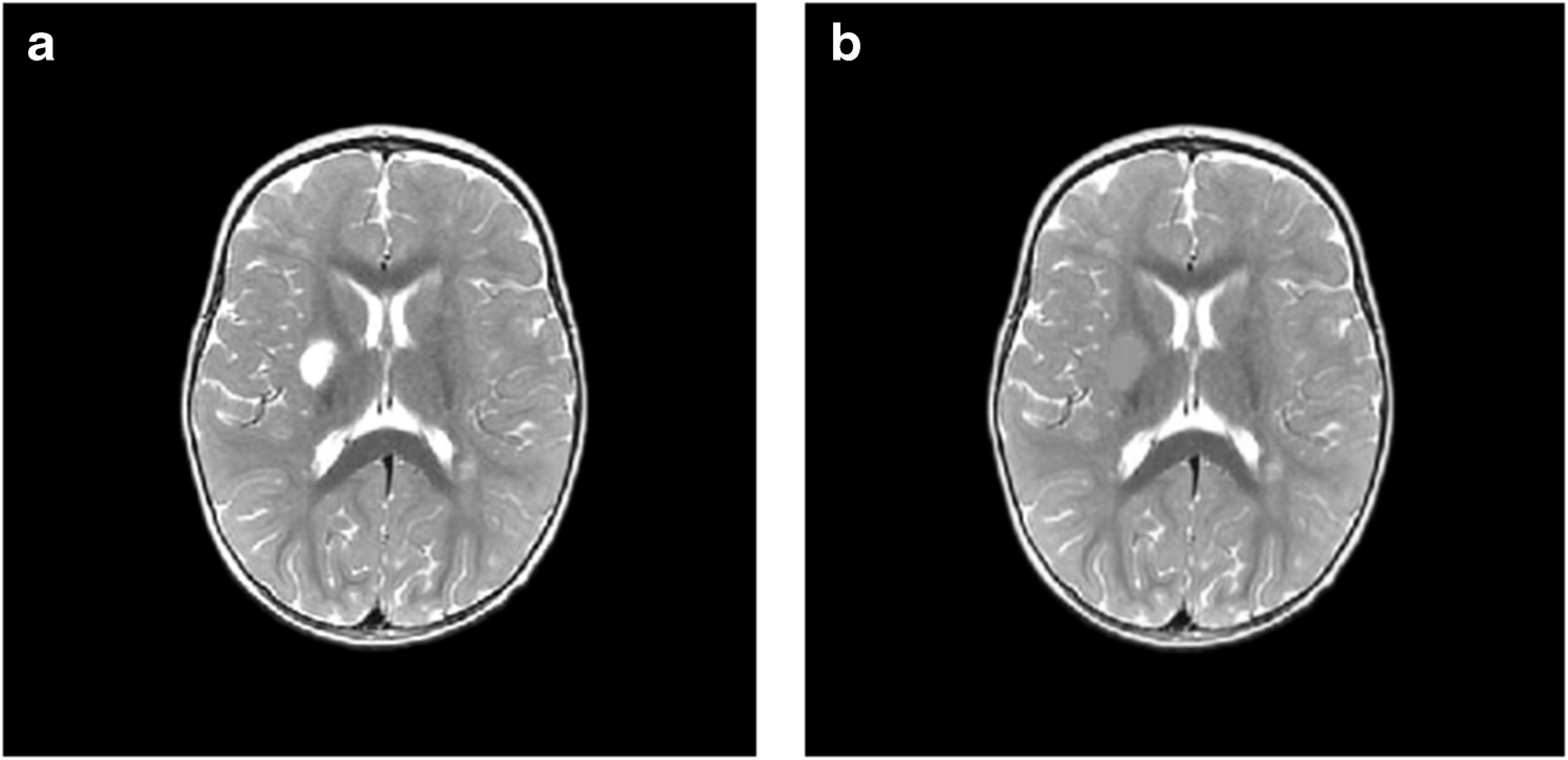
Исследователи проанализировали данные МРТ 35 детей, которые перенесли ишемический инсульт в возрасте до двух лет и лечились в больницах Екатеринбурга, Перми, Челябинска и Тюмени в период с 2015 по 2019 год. Возраст детей на момент инсульта варьировался от четырех дней до одного года 11 месяцев.
Для оценки последствий инсульта исследователи применили современный метод анализа снимков — воксель-базированную морфометрию. Упрощенно эту технологию можно представить так: на каждом МРТ-снимке слой за слоем вручную обводят контуры повреждений области мозга, а специальная компьютерная программа затем вычисляет точный объем этой зоны в кубических миллиметрах. Такая технология позволяет получить наиболее объективные данные по сравнению с традиционным МРТ-отчетом, направленным на определение качественных характеристик (точных границ инсульта, его локализации). Воксель-базированная морфометрия позволяет получить количественные данные: абсолютный и относительный объем поражения от общего объема мозга. Результат применения такого метода — точные числовые значения для последующего статистического анализа и сравнения.
Исследователи поделили малышей на две категории по возрасту: перенесших перинатальный и педиатрический инсульты. Первые пережили нарушение мозгового кровообращения до 28-го дня жизни, вторые — в возрасте от 28 дней до двух лет.
Оказалось, что инсульты у младенцев и детей, достигших месячного возраста, различаются и по масштабам, и по характеру повреждений. Так, у малышей с перинатальным инсультом объем повреждения мозга оказался намного серьезнее, чем у старших: 7,9% против 1,6% от объема мозга. Также у новорожденных чаще встречались нарушения, затрагивающие кору мозга, смешанные и двусторонние инсульты, а у группы детей от 28 дней до двух лет преобладали локальные подкорковые очаги и повреждения только левого полушария.

«Детский мозг очень пластичен, и чем младше ребенок, тем выше пластичность. Поэтому, с одной стороны, более ранний инсульт имеет более обширные поражения, но как это отразится на дальнейшем развитии ребенка, мы пока не знаем. Вовсе необязательно, что большой объем поражений будет связан с неблагоприятным исходом. Бывает так, что зона поражения затрагивает чуть ли не половину мозга, а ребенок впоследствии спокойно учится в школе. А бывает, что поражены всего несколько миллиметров, а ребенок на всю жизнь остается инвалидом», — отмечает Софья Куликова.
Анализ данных также показал, что почти половина инсультов (48,6%) были левосторонними, что согласуется с выводами других исследований. По словам Софьи Куликовой, левосторонние инсульты чаще встречаются и у взрослых. Это связывают с асимметрией сердечно-сосудистой системы: сонные артерии отходят от аорты не симметрично, и возникает вероятность, что тромб образуется в левой стороне мозга, а не в правой. Также, возможно, дело в том, что левая часть мозга в большей степени отвечает за речь, нарушения которой более заметны, чем правосторонние патологии. То есть, возможно, левосторонние инсульты просто чаще диагностируются. С чем такая локализация связана у детей, пока неизвестно.
Второй, менее очевидный вывод касался конкретных зон поражения. Выяснилось, что чаще всего удар у детей приходился на критически важные для развития лобную (68,6% случаев) и теменные (54,3%) доли. А именно эти зоны отвечают за движение, планирование, речь, мышление и восприятие пространства.
Но наиболее уязвимыми оказались зоны, снабжаемые кровью средней мозговой артерией, — 94,3% случаев. Почти у 63% детей была также повреждена внутренняя капсула, что часто ведет к когнитивным нарушениям, таким как невнимательность, апатия, абулия (безволие) и проблемы с памятью. В среднем объем поражения мозга составил примерно 20 тысяч кубических миллиметров — около 3,4% общего объема детского мозга.
На следующем этапе исследований ученые планируют изучить последствия инсульта, произошедшего в разном возрасте, у тех же самых детей. Сегодня многие из них уже учатся в школе, другие остались отстающими в развитии. Исследователи хотят сравнить показатели их когнитивных способностей с локализацией и объемом нарушения мозгового кровообращения, которое они пережили в раннем детстве. Итогом работы ученые видят создание программы прогнозирования и реабилитации после инсульта и для взрослых, и для детей.
Вам также может быть интересно:
НИУ ВШЭ представил новый инструмент для оценки потенциальных рисков для территорий
В Высшей школе экономики прошла презентация доклада по финансовым решениям для климатической адаптации в России. Учитывая, что, по оценкам, каждый градус повышения среднегодовой температуры может привести к негативному эффекту в размере до 3 трлн рублей ежегодно, меры по адаптации сейчас необходимы, считают эксперты. На презентации ученые НИУ ВШЭ представили цифровой инструмент, который позволяет построить климатический риск-профиль территорий.
НИУ ВШЭ представил рейтинг регионов России по необходимости адаптации к изменению климата
В докладе Высшей школы экономики оценены шесть ключевых климатических рисков для страны: деградация вечной мерзлоты, лесные пожары, засухи, волны тепла, экстремальные осадки и водный стресс. Рейтинг позволяет оценить риски для каждого конкретного региона и скорректировать планы адаптации.
Ошибки, которые всё объясняют: ученые обсудили будущее психолингвистики
Мировая лингвистика сегодня переживает «многоязычную революцию»: эпоха англоязычного доминирования в когнитивных науках подходит к концу, все чаще исследователи изучают многообразие языков мира. Более того, мультилингвизм из экзотики становится нормой, что кардинально меняет представления о когнитивных возможностях человека. В Вышке обсудили будущее развитие экспериментальной лингвистики.
Ученые НИУ ВШЭ создали среду для моделирования подключенного и беспилотного транспорта
Разработка группы исследователей и студентов во главе с преподавателем департамента компьютерной инженерии МИЭМ ВШЭ Виталием Степанянцем, реализуемая в Учебной лаборатории систем автоматизированного проектирования МИЭМ ВШЭ под руководством Александра Романова и Александра Американова, впервые в мире позволяет одновременно учитывать детальное моделирование восприятия окружающей среды беспилотным транспортом и распространения сигналов подключенного транспорта. На сегодняшний день среда не имеет аналогов среди программ такого рода с открытым кодом.
«Развернуть обсуждение политики в области высшего образования в доказательное русло»
29 октября в НИУ ВШЭ открылась XVI Международная конференция исследователей высшего образования (ИВО) на тему «Высшее образование: между частным и общественным благом». Для участия в конференции зарегистрировались более 600 человек из 32 регионов России и семи зарубежных стран, поступило рекордное число заявок на выступления с докладами — 242, из которых было принято 88.
Облака ближе, чем кажется: итоги форсайт-сессии iFORA
Интеллектуализация управления, синергия с ИИ и переход к микрооблакам — такими будут главные тренды цифровой экономики в ближайшее десятилетие. На форсайт-сессии в НИУ ВШЭ ведущие эксперты в сфере облачных технологий обсудили их эволюцию до 2040 года — от интеллектуализации процессов до идей о переносе хранилищ в космос, чтобы минимизировать экологический ущерб планете.
Исчезнувший сигнал: как солнечная активность заглушила радиоголос Земли
Исследователи из НИУ ВШЭ и ИКИ РАН проанализировали данные спутника ERG (Arase) за семь лет и впервые подробно описали новое радиоизлучение Земли — гектометровый континуум, открытый в 2017 году. Выяснилось, что это излучение возникает спустя несколько часов после заката и исчезает через 1–3 часа после восхода Солнца. Чаще всего его фиксировали в летние месяцы, реже — весной и осенью. Однако к середине 2022 года, когда Солнце вошло в фазу повышенной активности, излучение полностью исчезло, но ученые предполагают, что сигнал может вернуться. Исследованиео публиковано в журнале Journal of Geophysical Research: Space Physics.
«Практика и опыт взаимодействия с профессионалами помогут подготовить будущего продюсера»
У магистерской программы двух дипломов «Продюсер в музыкальной индустрии», реализуемой Высшей школой экономики совместно с Российской академией музыки имени Гнесиных, появился индустриальный партнер — музыкальный лейбл KOALA MUSIC. Компания примет участие в разработке учебных дисциплин и привлечении экспертов из индустрии к подготовке студентов.
Физики из ВШЭ рассказали, как управлять вихрями в двумерной турбулентности
Как поведение турбулентных потоков меняется под действием внешнего воздействия, выяснили исследователи Института теоретической физики имени Л.Д. Ландау РАН и факультета физики НИУ ВШЭ. Они показали, что даже небольшое подкручивание извне может стабилизировать систему, продлевая жизнь крупных вихрей. Такие результаты помогут точнее моделировать атмосферные и океанические потоки. Работа опубликована в журнале Physics of Fluids.
Персонализированная терапия поможет более эффективному лечению раковых заболеваний
Исследователи Международной лаборатории микрофизиологических систем факультета биологии и биотехнологии НИУ ВШЭ занимаются разработкой методов, снижающих сопротивляемость опухолевых клеток к воздействию лекарств, созданием более эффективных методов лечения рака с учетом индивидуальных особенностей пациентов. О работе лаборатории «Вышке.Главное» рассказала ее руководитель Диана Мальцева.


